Artykuły

Więzień tu i teraz

Kim byłeś, H.M.?

Numer 25/ 2013
Henry Molaison przed zabiegiem w 1953 r. Henry Molaison przed zabiegiem w 1953 r. materiały prasowe
Całe życie rozwiązywał tę samą krzyżówkę i gubił się w tych samych labiryntach laboratorium. Henry Molaison, człowiek bez pamięci, jest najsłynniejszym pacjentem neuropsychologii.
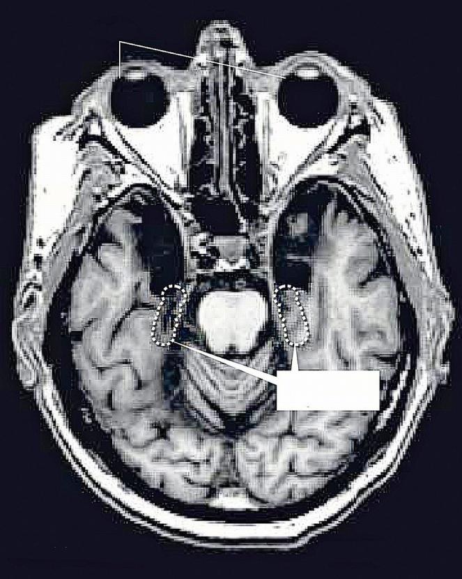
Po amputacji hipokampów objawy padaczki były mniej dotkliwe, pacjent utracił jednak zdolność posługiwania się pamięcią.materiały prasowe Po amputacji hipokampów objawy padaczki były mniej dotkliwe, pacjent utracił jednak zdolność posługiwania się pamięcią.

W nocy, kiedy Henry zmarł, zabrakło czasu na żałobę. Gdy Suzanne Corkin dostała wiadomość przez telefon, nie myślała o czarującym uśmiechu, jakim Henry zawsze wszystkich sobie zjednywał, ani o wielu godzinach spędzonych z nim w laboratorium, ani o zaangażowaniu, z jakim potrafił poświęcać uwagę wciąż tej samej łamigłówce. W owej chwili Suzanne Corkin interesowała się tylko jednym: mózgiem Henry’ego.

Już od 36 lat Corkin pracuje jako neuropsycholog w Massachusetts Institute of Technology (MIT) w Cambridge koło Bostonu.

30.08.2013 Numer 25/ 2013
Reklama